Das Tagebuch des N-Wurfs

----------------------------------------------------------

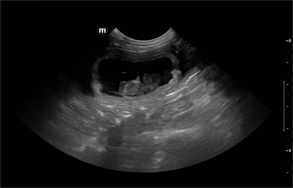
21.10.25

Heute war der große Tag des Ultraschalls gekommen, um endlich Giannas kleines Geheimnis zu lüften. Zum Glück sind wir rasch drangekommen, denn natürlich waren wir alle sehr gespannt.

Und wir dürfen uns freuen, denn wir konnten mehrere kleine Herzen schlagen sehen ❤️

Fürs Video bitte den Download anklicken:

ORCA View - Google Chrome 2025-10-22 11-
MP3 Audio Datei 65.8 MB

 

5.Woche:
29.-35. Trächtigkeitstag:
Zehen, Barthaare und Krallen entwickeln sich. Die Ausbildung der Organe ist abgeschlossen. Das Geschlecht kann bestimmt werden  und die Fellfarbe beginnt sich zu entwickeln. Mit einem Stethoskop kann man nun auch den Herzschlag hören.

 

15.10.25

Inzwischen befinden wir uns bereits in der Mitte des Oktober, und es ist draußen herbstlicher geworden. Gianna geht es prima, sie ist auch im Training noch dabei, aber wir machen etwas kürzere Einheiten, die mehr fürs Köpfchen anstrengend sind als für den Körper. Inzwischen haben wir auch den Termin für den Trächtigkeitsultraschall vereinbart, die Spannung steigt.

 

4. Woche:

22.-28. Trächtigkeitstag:
Am 22. Tag sind die Embryonen sichtbar. Nun kann man mittels Ultraschall auch die Trächtigkeit feststellen. Die Augen und die Nervenstränge im Rückenmark werden gebildet. Die Organbildung beginnt. Im derzeitigen Zustand sind die Embryonen stark defektgefährdet. Nun beginnt auch die Entwicklung der Zitzen. 

 

 Oktober 2025

 

1.-3. Woche:
1.-21. Trächtigkeitstag:
Noch kann man äußerlich der Hündin nichts ansehen. Dennoch passiert in den ersten Wochen der Trächtigkeit schon sehr viel. Die Eizellen werden befruchtet und wandern in den Gebärmutterhals. Sie entwickeln sich zu Blastozysten und erreichen nach ca. 2 Wochen die Gebärmutter. Um den 18.-20. Tag nisten sie sich in der Gebärmutterwand ein (Nidation). Sie bilden dort embryonale Bläschen. Durch die hormonelle Umstellung können in dieser Zeit Übelkeit und Futtermäkeligkeit bis hin zur kurzfristigen Futterverweigerung bei der Hündin auftreten. Viele Hündinnen haben auch ein erhöhtes Schlafbedürfnis.

24.09.25

Da alles so gut geklappt hat, machen wir uns heute, natürlich nicht ohne noch einmal Abschied vom Meer, von Åsa und Jeff zu nehmen, auf die Heimreise und hoffen, genauso gut durchzukommen wie bei der Herfahrt. Ein ganz, ganz lieber Dank geht an Åsa Eriksson für die Gastfreundschaft, die netten und interessanten Gespräche, die hervorragende Bewirtung und für Jeff als Papa unseres geplanten Wurfes.

Thank you very much again to you, dear Åsa, for the hospitality, the nice and interesting conversations,
the excellent service and for Jeff as father of our planned litter ❣️🐾

WhatsApp Video 2025-09-24 um 10.52.30_f9
MP3 Audio Datei 8.9 MB
WhatsApp Video 2025-09-23 um 14.34.34_f1
MP3 Audio Datei 743.1 KB

WhatsApp Video 2025-09-23 um 15.18.43_0d
MP3 Audio Datei 16.3 MB
WhatsApp Video 2025-09-24 um 12.23.09_13
MP3 Audio Datei 11.6 MB

 

23.09.25

Das Frühstück am nächsten Morgen im Hotel ist sehr lecker, und auch der Frühstücksraum ist sehr ansprechend gestaltet. Danach verbringen wir den Tag wieder, wie gestern auch, am Meer, denn das Wetter ist einfach bombastisch, richtig herrliches Spätsommerwetter, während wir von unserer Familie und unseren Freunden hören, dass es in Deutschland grau in grau und sehr nass zugeht. Am Abend sind wir bei Åsa zum Essen eingeladen, sie kocht mal wieder total lecker für uns. Und nicht nur Jeff verwöhnt uns mit Schmuseeinheiten, auch Spicey, Jeffs Sohn, freut sich riesig über uns, zwei ganz tolle, liebenswerte Burschen sind das 💕

22.09.25

Da Gianna und Jeff sich ja schon kennen, verläuft das Wiedersehen sehr freudig, und Gianna wird an diesem Abend auch gleich das erste Mal sehr rasch und komplikationslos von Jeff gedeckt 😍

 

21./22.09.25

Die Fahrt verläuft ohne besondere Vorkomnisse, und so kommen wir im Laufe des Vormittags auf der Insel Fyn an. Wir haben eine sehr gemütliche Unterkunft in einem prima Hotel mitten in der Natur, sogar ein Wildgehege ist dabei.

21.09.25

Heute liegt der Progesteronwert tatsächlich bereits bei 7,8 ng/ml, und wir beschließen in der Nacht Richtung Dänemark zu starten.

19.09.25

Zunächst blieb der Progesteronwert bei den Tests sehr niedrig (unter 0,5 ng/ml), heute war er innerhalb von zwei Tagen auf 2,0 ng/ml gestiegen. Direkt am nächsten Tag wieder zu testen ergäbe keinen Sinn, bis nach dem Wochenende will ich aber auch nicht warten, also vereinbare ich in der Tierklink für Sonntag den nächsten Progesterontest.

 

13.09.25

Lange haben wir auf Giannas Läufigkeit gewartet. Zunächst wurde Jade läufig, so wussten wir, es kann nicht lange dauern bis Gianna ebenfalls soweit ist. Und heute konnten wir dann auch die ersten Blutspuren bei ihr entdecken🩸

 

 September 2025

News-Seiten:  9  8  7  6  5  4  3  2  1